Bactéries résistantes
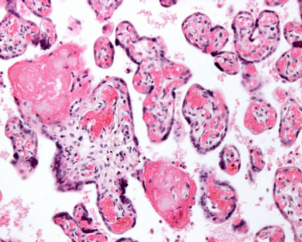
Des bactéries anciennes sur le continent américain
Les bactéries responsables de certaines maladies, notamment la syphilis, étaient présentes sur le continent américain il y a 5 500 ans, bien avant l’arrivée...
Lire la suite Burnout

S’entendre au travail malgré les différences d’âge
Si leurs attentes ne sont pas toujours les mêmes, jeunes et seniors ont tout à gagner à unir leurs forces....
Lire la suite Technologie
Des ordinateurs qui utilisent des neurones humains
Et si les ordinateurs devenaient biologiques?
Lire la suite Mécanismes du cerveau
Schizophrénie: le rôle inattendu du cervelet
Découvrez le rôle inattendu du cervelet dans la schizophrénie.
Lire la suite Mécanismes du corps
Ces médicaments qui affectent notre santé mentale
Certains médicaments courants peuvent provoquer des effets indésirables psychiatriques importants et pourtant largement négligés.
Lire la suite Mécanismes du cerveau
Le bilinguisme aiderait les enfants autistes
Une étude de l'Université de Fribourg, menée par la professeure Stephanie Durrleman, remet en question les idées reçues sur le bilinguisme et l'autisme.
Lire la suite Covid-19
Un début d'année marquée par le covid et la grippe
Vous voulez en savoir plus sur ces fameux microbes qui ont cloué des gens au lit cette fin d’année et qui continue de sévir?
Lire la suite Allo Docteur...
Mon enfant est malade

Mon enfant a une verrue
Votre enfant a une petite bosse rugueuse de couleur chair sous le pied ou sur les doigts.
Alimentation
Mieux manger
Zoom sur la santé mentale
Des neurones "égarés" mais fonctionnels
Une équipe de l'Université de Genève ont découvert que des neurones mal positionnés dans le cerveau peuvent fonctionner normalement et compenser des zones endommagées, comme un quartier déplacé mais toujours connecté.
Quand le TDAH pousse les jeunes à prendre plus de risques dans leur sexualité
Une étude menée par des chercheurs de l’Inserm, de l’université de Bordeaux et du centre hospitalier Charles Perrens révèle un lien entre le TDAH et des comportements sexuels à risque chez les étudiants: rapports précoces, absence de protection, et risque accru d'IST.
Le bilinguisme aiderait les enfants autistes
Une étude de l'Université de Fribourg, menée par la professeure Stephanie Durrleman, remet en question les idées reçues sur le bilinguisme et l'autisme.
Bouger pour sa santé
Bouger pour sa santé

Activité physique: chaque pas compte!
10’000 pas par jour, c’est l’un des objectifs qu’il est souvent conseillé de viser pour préserver au...
Lire la suite Maladies, comprendre l'essentiel

Sinusite
La sinusite est une inflammation de la muqueuse tapissant l’intérieur des sinus, des cavités aérées dans les os du visage. Elle est généralement causée...

Schizophrénie
On utilise parfois le terme de «psychose», qui s’applique à un ensemble de maladies psychiatriques dans le cadre desquelles apparaissent des symptômes...

Syndrome douloureux régional complexe
Le SDRC est un état douloureux qui survient le plus souvent après un traumatisme (fracture) ou une opération d’un membre. Il peut aussi survenir à la suite...
En vidéo
Santé des femmes

















